Thermo Fisher(Dynabeads) Dynabeads Dynabeads Co-Immunoprecipitation Kit
- 研究用
Dynabeads™ Co-Immunoprecipitation Kitは、共免疫沈降(co-IP)に使用する磁気ビーズとバッファーで構成されるキットです。粒径2.8 μmの均一な超常磁性ビーズに直接、任意の抗体を共有結合させ、タンパク質、無傷のタンパク質複合体、またはタンパク質核酸複合体などの共分離に使用します。
本品には、エポキシ活性化磁気ビーズ(Dynabeads M-270 Epoxy)に加えて、ビーズと抗体の結合、穏やかな洗浄、タンパク質複合体の溶出に必要な各バッファーが含まれています。
製品の特長
Dynabeads Co-Immunoprecipitation Kitで共免疫沈降
- co-IPに最適化されたバッファーと磁気ビーズ
- 極めて低いバックグラウンド(非特異的)結合
- 穏やかな分離技術により、ネイティブなタンパク構造と大きなタンパク質複合体を保護
- 任意の抗体をビーズに結合可能
- 抗体の共有結合により、標的タンパク質との共溶出を回避
- 自動化装置でのハイスループット化にも対応

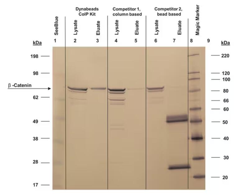
他社製co-IPキットとの性能比較

Dynabeads Co-Immunoprecipitation Kitと他社製co-IPキット(2種類)を、いずれもマウス抗βカテニン抗体と結合させ、4-12% Bis-Trisゲルを用いたウェスタンブロッティングで評価した(Western Breeze anti-Mouse検出系を使用)。Dynabeads Co-IP Kitは優れた収量、低いバックグラウンドを示し、抗体溶出が見られない。











